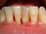
1) Ουλίτιδα

Με τον όρο ουλίτιδα εννοούμε την παθολογική κατάσταση των ούλων που χαρακτηρίζεται από φλεγμονή και αιμορραγία.

Οφείλεται κυρίως στην κακή στοματική υγιεινή και στην ύπαρξη μικροβιακής πλάκας αλλά σε ορισμένες περιπτώσεις μπορεί να οφείλεται και σε γενικά αίτια όπως ο σακχαρώδης διαβήτης,η εγκυμοσύνη,η λευχαιμία,η λήψη ορισμένων φαρμάκων,η έλλειψη βιταμινών κ.α.Εκτός από την αιμορραγία μπορεί να υπάρχουν και κάποια άλλα ευρήματα όπως μεταβολή του χρώματος και της υφής  των ούλων (πιο εξέρυθρα και πιο λεία),κακοσμία,ύπαρξη πόνου,οιδήματος ή αλλαγή στη γεύση.


Η θεραπεία της ουλίτιδας όταν αυτή οφείλεται σε μικροβιακή πλάκα συνίσταται στην απομάκρυνσή της από τον οδοντίατρο σε μία ή περισσότερες επισκέψεις,στη χορήγηση ειδικού στοματικού διαλύματος για κάποιο χρονικό διάστημα και στην τήρηση κανόνων σχολαστικής υγιεινής από τον ασθενή.Εάν όμως η μικροβιακή πλάκα είναι ελάχιστη ώστε να μη δικαιολογείται η ύπαρξη ουλίτιδας τότε η ουλίτιδα οφείλεται σε άλλους παράγοντες και συνεπώς αυτοί θα πρέπει να εντοπιστούν και να αντιμετωπιστούν.

Τέλος στο  σημείο αυτό θα πρέπει να κάνουμε μία ιδιαίτερη αναφορά στην ουλίτιδα εγκυμοσύνης.Οι μεταβολές που συμβαίνουν στις ορμόνες του φύλου την περίοδο αυτή μπορούν να προκαλέσουν σοβαρή ουλίτιδα με συμπτώματα έντονη αιμορραγία,αύξηση του όγκου των ούλων,μερικές φορές ακόμα και δημιουργία μικρών αποστημάτων.Για το λόγο αυτό οι έγκυες γυναίκες θα πρέπει να εφαρμόζουν άριστη στοματική υγιεινή και να επισκέπτονται τακτικά τον οδοντίατρο από το δεύτερο τρίμηνο και μετά.                  

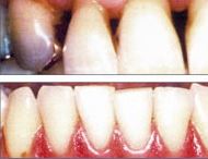
2) Περιοδοντίτιδα

Η περιοδοντίτιδα είναι μια φλεγμονώδης νόσος που προκύπτει από την αθεράπευτη ουλίτιδα. 

Στη νόσο αυτή η φλεγμονή δεν εντοπίζεται μόνο στα ούλα αλλά έχει επεκταθεί και κάτω από αυτά.Τα ούλα αποκολλούνται από τα δόντια με αποτέλεσμα τη δημιουργία θυλάκων ( κοιλότητες σε σχήμα τσέπης ) στους οποίους συσσωρεύονται μικρόβια.Τα μικρόβια παράγουν τοξίνες και καταστρέφουν τους ιστούς γύρω από τα δόντια και κυρίως το κόκκαλο που τα στηρίζει.Έτσι τα δόντια αρχίζουν να κουνιούνται με τραγική κατάληξη την απώλειά τους. 
  
Από τις συνεχείς απώλειες των δοντιών στο στόμα δημιουργούνται κενά που θα αποκατασταθούν με πολύ κόπο και προσπάθεια από τον οδοντίατρο και φυσικά με σημαντικό χρηματικό κόστος.

Αν η κατάσταση αφεθεί στη μοίρα της θα έχουμε δυσάρεστα επακόλουθα όπως διαταραχές της σύγκλεισης (του τρόπου δηλαδή που αρθρώνουν τα πάνω με τα κάτω μας δόντια),της ομιλίας,στομαχικές ενοχλήσεις από την πλημμελή μάσηση των τροφών,αισθητικά προβλήματα και επιπτώσεις στην ψυχολογία του ασθενή ο οποίος επηρεάζεται στην προσωπική,την επαγγελματική και την κοινωνική του ζωή από την άσχημη εικόνα του στόματός του.Όλα αυτά βέβαια θα μπορούσαν να έχουν αποφευχθεί εάν όλοι μας μαθαίναμε από μικροί να βουρτσίζουμε σωστά και σε τακτική,καθημερινή βάση τα δόντια μας.

Το «κλειδί» για την πρόληψη της νόσου είναι το σωστό βούρτσισμα δηλαδή η έγκαιρη και επιτυχημένη απομάκρυνση όλων των υπολειμμάτων τροφής από τις οδοντικές επιφάνειες μετά το κάθε γεύμα.Για το λόγο αυτό εκτός από το βούρτσισμα με την οδοντόβουρτσα θα πρέπει να χρησιμοποιούνται επιπλέον οδοντικό νήμα ή μεσοδόντια βουρτσάκια ενώ κεφαλαιώδους σημασίας είναι να μην παραλείπεται το καθάρισμα των δοντιών το βράδυ.

Το βούρτσισμα εκτός από τη συνεισφορά του στην υγεία δοντιών και ούλων αποτελεί αναπόσπαστο τμήμα της ατομικής μας υγιεινής.Δεν πρέπει να ξεχνάμε ότι τα μικρά παιδιά από την ηλικία του ενός έτους και μετά θα πρέπει να βοηθηθούν από τους γονείς και το γιατρό προκειμένου να εξοικειωθούν.  

3) Θεραπεία Περιοδοντίτιδας

Η θεραπεία της περιοδοντίτιδας εξαρτάται από το πόσο προχωρημένη είναι και μπορεί να είναι συντηρητική ή να περιλαμβάνει και κάποιες χειρουργικές θεραπείες.Η συντηρητική θεραπεία ξεκινάει με καθαρισμό των δοντιών και λήψη περιοδοντογράμματος ενός ειδικού δηλαδή ιστορικού στο οποίο σημειώνονται όλα τα δόντια της στοματικής κοιλότητας που παρουσιάζουν θυλάκους καθώς και το μέγεθος και η ακριβής θέση των θυλάκων αυτών. 

Στη συνέχεια και σε διάστημα τριών με τεσσάρων επισκέψεων γίνεται ριζική απόξεση σχολαστικός καθαρισμός δηλαδή της μικροβιακής πλάκας που υπάρχει στις ρίζες των δοντιών που εμφανίζουν τους θυλάκους.Σε περίπτωση που η συντηρητική θεραπεία δεν έχει τα ανάλογα αποτελέσματα και οι θύλακοι δεν εξαλειφθούν τότε μετά από ενάμισι μήνα πραγματοποιούμε κάποιες μικροεπεμβάσεις στα ούλα. 

Οι νέες περιοδοντικές θεραπείες χειρουργικές ή μη με ταυτόχρονη χορήγηση αναισθησίας και αναλγητικών έχουν κάνει την θεραπεία των ασθενών αρκετά ανώδυνη και άνετη. Ακόμα και σε χειρουργικές επεμβάσεις τις περισσότερες φορές οι ασθενείς γυρνάνε στις καθημερινές τους υποχρεώσεις την ίδια ή την επόμενη μέρα. 

Σε περίπτωση απώλειας δοντιών λόγω περιοδοντίτιδας η αποκατάσταση μπορεί να γίνει με δύο τρόπους με την κλασσική προσθετική και με τα εμφυτεύματα.Έτσι ο οδοντίατρος μπορεί να φτιάξει μια γέφυρα για περιπτώσεις απώλειας ενός η λίγων δοντιών ή ακόμα και μερικές ή ολικές οδοντοστοιχίες για απώλεια πολλών ή όλων των δοντιών.Τα τελευταία χρόνια χρησιμοποιούνται με πολύ μεγάλα ποσοστά επιτυχίας τα οδοντικά εμφυτεύματα προσφέροντας μια λύση πού ικανοποιεί και τις πιο υψηλές απαιτήσεις των ασθενών τόσο σε αισθητική όσο και σε λειτουργικότητα.           

Βέβαια θα πρέπει να τονιστεί ότι όταν η περιοδοντίτιδα είναι προχωρημένη η θεραπεία δεν μπορεί να αποκαταστήσει το οστό που έχει καταστραφεί αλλά έχει ως σκοπό τη διακοπή της εξέλιξής της και την παραμονή των δοντιών που έχουν απομείνει στο στόμα για όσο γίνεται μεγαλύτερο χρονικό διάστημα.Για το λόγο αυτό ασθενείς με περιοδοντίτιδα δεν πρέπει να παραμένουν για χρόνια χωρίς θεραπεία,γιατί εάν η καταστροφή του οστού είναι πολύ μεγάλη τότε θα είναι αδύνατη και η τοποθέτηση εμφυτευμάτων που ενδεχομένως θα χρειαστούν για την αποκατάσταση της οδοντοφυίας.