Οδοντιατρικά Θέματα

 

1)Τι είναι

Τα εμφυτεύματα είναι κατασκευές από τιτάνιο και πορσελάνη που σκοπό έχουν να αποκαταστήσουν τα χαμένα μας δόντια. 

Όπως και τα δόντια αποτελούνται από δυο τμήματα το τμήμα της ρίζας και το τμήμα της μύλης που στην προκείμενη περίπτωση είναι μια στεφάνη. 

Το τιτάνιο είναι απόλυτα βιοσυμβατό με τον ανθρώπινο οργανισμο για το λόγο αυτό χρησιμοποιείται και σε πληθώρα άλλων επεμβάσεων πέρα από την οδοντιατρική.Κατά 98% τα εμφυτεύματα

 

1) Κακοσμία


Πολλοί άνθρωποι θεωρούν ότι το στόμα τους μυρίζει μια κατάσταση η οποία τους φέρνει σε αμηχανία κατά τις κοινωνικές συναναστροφές τους. 

Η κυριότερη αιτία της κακοσμίας του στόματος είναι η κακή στοματική υγιεινή. Ουλίτιδα ή περιοδοντίτιδα καθώς και χαλασμένα σφραγίσματα αποτελούν εστίες ανάπτυξης μικροβίων με άμεσο αντίκτυπο στην οσμή του στόματος. 

Η σωστή στοματική υγιεινή,το σχολαστικό βούρτσισμα δηλαδή,η χρήση νήματος και καποιου στοματικου διαλυματος καθως και η θεραπεια των οποιων στοματικων προβληματων αποτελουν τη λυση του προβληματος.


Επίσης το βούρτσισμα της ραχιαίας επιφάνειας της γλώσσας μπορεί να βοηθήσει καθώς αποτελεί περιοχή προσκόλλησης εκατομμυρίων μικροβίων. 

Σε ένα μικρό ποσοστό η κακοσμία μπορεί να μην είναι στοματικής προέλευσης αλλά να οφείλεται σε γενικά προβλήματα όπως σε κίρρωση του ήπατος ( οσμή πτωμαΐλας ),σε μη ελεγχόμενο διαβήτη (οσμή σαν οινόπνευμα),σε νεφρική ανεπάρκεια (οσμή σαν αμμωνία ή ούρα),σε νεοπλάσματα στομάχου κ.α. 

Στις περιπτώσεις αυτές  και εφόσον ο οδοντίατρος διαπιστώσει ότι  δεν υπάρχει κάποιο στοματικό πρόβλημα που να οδηγεί στην κατάσταση αυτή ο ασθενής θα πρέπει να παραπεμφθεί σε γιατρό άλλης ειδικότητας και να κάνει τις ανάλογες εργαστηριακές εξετάσεις.

2) Σφίξιμο Δοντιών.

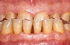
Ο βρυγμός ή το σφίξιμο  των δοντιών είναι μια παραλειτουργία κατά την οποία το άτομο που την κάνει δαγκώνει ή τρίζει με δύναμη τα δόντια του χωρίς να υπάρχει ουσιαστικός λόγος. 

Το άγχος ή η συναισθηματική φόρτιση και οι υποχρεώσεις της καθημερινής ζωής είναι τα κύρια αίτια αυτής της διαταραχής η οποία μπορεί να εκδηλώνεται κατά τη διάρκεια της ημέρας έτσι ώστε το πρόβλημα να γίνεται αντιληπτό από τον ασθενη μπορεί όμως να εκδηλώνεται μόνο κατά τη διάρκεια της νύχτας αποτελώντας έτσι μια αόρατη και ύπουλη πάθηση και προκαλώντας πολλά και σοβαρά προβλήματα.

Όσον αφορά στα δόντια γίνεται κατανοητό ότι με τον τρόπο αυτό τα δόντια σιγά σιγά αποτρίβονται χάνοντας μέρος της οδοντικής ουσίας τους ενώ σε προχωρημένες καταστάσεις μπορεί να έχουν χάσει σχεδόν όλο το ύψος τους με αποτέλεσμα η αποκατάσταση τους να επιβάλλει απονευρώσεις και προσθετικές εργασίες. 

Το αποτέλεσμα είναι σιγά σιγά όλη η σύγκλειση να καταστρέφεται,το πρόσωπο να χάνει το φυσιολογικό ύψος του,να πέφτουν οι γωνίες του στόματος και το άτομο να δείχνει γερασμένο.Επίσης οι δυνάμεις που ασκούνται στα δόντια έχουν ως αποτέλεσμα μικρά κομματάκια οδοντικής ουσίας να αποσπώνται συνεχώς από τον αυχένα των δοντιών που με τον καιρό γίνονται ολόκληρες κοιλότητες αποδυναμώνοντας τα δόντια και προκαλώντας ευαισθησίες, ενώ δίνουν στον ασθενή τη λανθασμένη εντύπωση ότι έχουν προκληθεί από σκληρή οδοντόβουρτσα ή υπερβολικό βούρτσισμα των δοντιών. 

Πέρα από τα δόντια, ο βρυγμός προκαλεί γενικότερα πρόβλημα στο στοματογναθικό σύστημα. Η κροταφογναθική άρθρωση επιβαρύνεται, οι μύες του προσώπου καταπονούνται, με αποτέλεσμα να εκδηλώνονται ως πονοκέφαλος και πόνος στο πρόσωπο, οι αρθρώσεις εμφανίζουν θόρυβο, ενώ υπάρχει αδυναμία για πλήρη διάνοιξη του στόματος. 

Είναι σημαντικό λοιπόν να κατανοήσει κανείς τη σοβαρότητα της κατάστασης αυτής ακόμα και όταν πιστεύει ότι δεν τον αφορά. Θεραπεία για το βρυγμό δεν υπάρχει, μπορεί όμως να ασκηθεί έλεγχος στις καταστρεπτικές δυνάμεις που ασκούνται στα δόντια με την κατασκευή ενός διαφανούς ειδικού νάρθηκα τον οποίο φοράει ο ασθενής κυρίως κατά τη διάρκεια της νύχτας και ο οποίος εμποδίζει τα δόντια να ακουμπήσουν μεταξύ τους.Το αποτέλεσμα είναι να προστατεύονται τα δόντια αλλά και να χαλαρώνουν οι μυς του πρόσωπου προσφέροντας ξεκούραση στον ασθενή και απαλλαγή από τους δυσάρεστους πονοκεφάλους.

 

3) Γνωρίζετε ότι…

Η καλύτερη περίοδος για επίσκεψη στον οδοντίατρο κατά τη διάρκεια της εγκυμοσύνης είναι κατά τον 4ο με 6ο μήνα.Κατά την περίοδο αυτή πρέπει να ελέγχεται η υγεία των ούλων και να γίνεται καθαρισμός γιατί ορμονικές αλλαγές επιδρούν στα ούλα δημιουργώντας τη λεγόμενη ουλίτιδα της εγκυμοσύνης. Αντιθέτως η οδοντιατρική επίσκεψη είναι απαγορευμένη στο πρώτο τρίμηνο της εγκυμοσύνης το οποίο είναι και το πιο κρίσιμο για τη διάπλαση του εμβρύου.

Η λήψη αντισυλληπτικών μπορεί να προκαλέσει καθυστέρηση της επούλωσης και έντονο πόνο σε περίπτωση εξαγωγής κάτι που γίνεται λιγότερο έντονο εάν η εξαγωγή γίνει κατά τη 14η με 16η μέρα του κύκλου. 

Η λήψη αντιβίωσης που μπορεί να χορηγηθεί από τον οδοντίατρο για την αντιμετώπιση κάποιου οιδήματος μπορεί να επηρεάσει την αποτελεσματικότητα των αντισυλληπτικών. 

Στην ηλικία των επτά ετών είναι πολύ σημαντικό τα παιδιά να επισκέπτονται τον ορθοδοντικό.Στην ηλικία αυτή γίνεται διάγνωση όχι μόνο των προβλημάτων που μπορεί να προκύψουν όσον αφορά στην ανατολή των δοντιών αλλά κυρίως γίνεται διάγνωση των τυχόν σκελετικών ανωμαλιών του προσώπου που μπορεί να υπάρχουν τα οποία μπορεί να διορθωθούν εύκολα με τη χρήση ειδικών μηχανημάτων έως και την ηλικία των έντεκα ετών όπου συνήθως η ανάπτυξη των οστών του προσώπου σταματάει.

 

 

 

 

 

 

-Πλένετε τα δόντια σας καθημερινά μετά από την κατανάλωση κολλώδων και πολύ σακχαρούχων τροφών και πριν κοιμηθείτε.Κατά τη διάρκεια του ύπνου το σάλιο που αποτελεί φυσικό αυτοκαθαριστικό παράγοντα ελαττώνεται και οι τροφές που μένουν στο στόμα είναι διπλά καταστροφικές. 

-Χρησιμοποιείστε οδοντόβουρτσα μέτριας σκληρότητας με μικρή κεφαλή ώστε να φτάνει  στις οπίσθιες περιοχές του στόματος.Μη βάζετε υπερβολική δύναμη στο βούρτσισμα.

 

Πόσο συχνά πρέπει να πηγαίνω στον οδοντίατρο;
Ανάλογα με το επίπεδο της στοματικής υγιεινής που έχω.Αυτό μπορεί να σημαίνει κάθε τρεις μήνες,κάθε έξι μήνες ή και κάθε χρόνο. 

Κάθε πότε πρέπει να βουρτσίζω τα δόντια μου;
Κάθε φορά που 
τρώω.Αν όμως κάτι τέτοιο είναι δύσκολο οπωσδήποτε το βράδυ και όποτε τρώω τροφές κολλώδεις και με υψηλή περιεκτικότητα σε ζάχαρη.


Θα πονέσω;
Τα σύγχρονα αναισθητικά είναι πλέον τόσο ισχυρά που κάνουν και τον πιο φοβισμένο ασθενή να αναδιαμορφώσει τη γνώμη του για τις οδοντιατρικές θεραπείες. 

Τα εργαλεία είναι αποστειρωμένα; 
Τα εργαλεία αρχικά απολυμαίνονται,στη συνέχεια τοποθετούνται σε ειδικά σακουλάκια και αποστειρώνονται σε ειδικό κλίβανο τελευταίας τεχνολογίας.

Ποια οδοντόκρεμα,ποιο στοματικό διάλυμα και ποια οδοντόβουρτσα να χρησιμοποιήσω;
Σημασία δεν έχει η μάρκα κάποιας συσκευασίας αλλά ο τρόπος βουρτσίσματος και η ώρα της ημέρας που τα βουρτσίζουμε.Καλο είναι βεβαια να προτιμουνται τα προιοντα που πωλουνται στα φαρμακεια και όχι τα αντιστοιχα των super markets.Το βράδυ είναι πολύ σημαντικό να πλένουμε τα δόντια καθώς η ροή του σάλιου που βοηθά στον αυτοκαθαρισμό του στόματος ελαττώνεται με αποτέλεσμα οι τροφές που υπάρχουν στα δόντια να είναι διπλά αυτοκαταστροφικές.Επίσης, είναι σημαντικό να βουρτσίζουμε τα δόντια με μια ελαφριά γωνία ως προς τα ούλα ώστε να καθαρίζεται και η ουλοδοντική σχισμή καθώς και να  χρησιμοποιούμε νήμα η μεσοδόντια βουρτσάκια.